您好! 请 登录 | 注册

新辅助免疫联合化学治疗实例展示及非小细胞肺癌临床试验志愿者招募

2020年06月01日 8247人阅读 返回文章列表

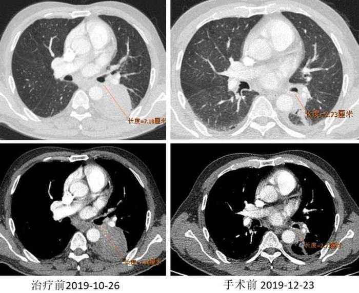
基本情况:患者,男,64岁。2019.10.11 因“痰中带血半月”入院。穿刺病理:(左下叶)鳞癌。免疫组化结果:PD-L1(22C3)(-) 。基因检测:无基因突变。支气管镜:左下叶背段见新生物,部分堵塞左下叶管腔。超声下见7组淋巴结肿大及左肺病灶影。临床分期:cT4N1M0-ⅢA

诊疗经过:两周期免疫治疗联合化疗方案。2019.01.03 行“VATS辅助左肺下叶切除术”。

术后冰冻病理:(左下叶)见少量异型细胞,病灶内见纤维组织伴淋巴组织增生、组织细胞聚集、胆固醇结晶沉积及反应性多核巨细胞,结合病史符合新辅助治疗后反应(MPR,即治疗后病灶内残留癌细胞<10%)。(第11组淋巴结)肺组织内见纤维组织增生伴炎细胞浸润及组织细胞反应。

又是一例驱动基因突变阴性的患者,连PD-1/PD-L1突变都没有,相比较于之前我们分享的病例,却获得了更好的疗效,达到了MPR。

上海市肺科医院最新开展多项相关临床试验研究,有意者可仔细阅读以下试验入组条件,符合条件者可进一步私信咨询,私信时请留下您的穿刺病理结果、是否手术、手术日期、手术方式、病理结果以及是否使用过其他治疗方式等相关信息。


临床试验1:新辅助抗PD-1药物联合方案治疗可切除IB-ⅢA期NSCLC的临床研究

 入组标准:

·           年龄≥18岁

·           组织学或细胞学证实为非小细胞肺癌(穿刺活检),影像学检查等明确为IB—ⅢA期(N2单站)的初治患者;

·           无EGFR、ALK等驱动基因突变;

·           无全身转移,预计可完全切除;

·           器官功能良好:血常规、肝肾功能等符合试验要求,肺功能良好能耐受手术切除

·           未怀孕且在试验开始及结束30 天内应该采用可靠的避孕措施。

 

 排除标准

·           针对NSCLC进行过任何全身性抗癌治疗,包括手术治疗、局部放疗、细胞毒性药物治疗、靶向药物治疗及试验性治疗等;

·           本试验开始前五年内患有除NSCLC以外的其它癌症的患者;

·           合并有不稳定的全身系统性疾病,如未控制的高血压、严重心律失常等;

·           有活动性的、已知的或怀疑的自身免疫性疾病;

·           对试验药物过敏;

·           曾经或目前患有间质性肺病;

·           合并有HIV感染;

·           本试验开始前2月内进行过其他系统大手术或者严重外伤者;

·           怀孕或者哺乳期妇女;

·           任何吸收不良的情况;

·           患有神经系统疾病或者精神疾病不能配合者;



临床试验2:根治性手术联合盐酸安罗替尼术后术后辅助靶向治疗IA期非小细胞肺癌

入选标准

             ·           患者年龄≥18岁;

             ·           行肺叶切除术+淋巴结清扫或肺段切除术+淋巴结清扫,切缘阴性且切缘>2cm或>肿瘤直径的手术患者;

             ·           病理学证实为非小细胞肺癌,且肿瘤直径≤3cm,无淋巴结转移,无系统性转移(胸部CT、肝脏及肾上腺 CT、头颅磁共振、PET-CT/全身骨显像等明确)的IA 期的初治患者(根据UICC 2016 年第8 版分期标准);

             ·           抽血检查证实患者骨髓、肝肾功能符合参加研究的要求;

             ·           未怀孕且在试验开始及结束30天内应该采用可靠的避孕措施。

 

排除标准

             ·           针对非小细胞肺癌进行过任何全身性抗癌治疗,包括细胞毒性药物治疗、靶向药物治疗、试验性治疗;

             ·           针对非小细胞肺癌进行过其他手术治疗;

             ·           针对非小细胞肺癌进行过局部放疗;

             ·           在本研究的治疗开始之前的五年内患有除非小细胞肺癌以外的其它癌症的患者。除外宫颈原位癌、已治愈的基底细胞癌、膀胱上皮肿瘤[包括TaTis]

             ·           任何不稳定的系统性疾病(包括活动性感染、未得到控制的高血压、不稳定型心绞痛、最近3个月内开始发作的心绞痛、充血性心功能衰竭(≥纽约心脏病协会【NYHAII级)、心机梗塞(入组前6个月)、需要药物治疗的严重心律失常、肝脏,肾脏或代谢性疾病;

             ·           曾经或目前患有间质性肺病;

             ·           没有完全控制的眼部炎症或眼部感染,或任何可能导致上述眼部疾病的情况;

             ·           已知人类免疫缺陷病毒(HIV)感染;

             ·           在首次用药前2个月内进行过其他系统大手术或受严重外伤的患者;

             ·           任何吸收不良的情况;

             ·           怀孕或哺乳期妇女;

             ·           患有神经系统性疾病或精神疾病不能配合者;



临床试验3:I期含微乳头成分肺腺癌的辅助化疗

入选标准

             ·           患者年龄≥19 岁且≤70 岁;

             ·           已行根治性行叶切手术,术后病理明确为I 微乳头成分≥20%腺癌的患者;

             ·           术后时间不超过两个月

             ·           之前未接受过任何全身性抗肿瘤药物治疗,包括化疗、靶向等;

             ·            无呼吸、循环系统终末期疾病;

             ·           抽血检查证实患者骨髓、肝肾功能符合参加研究的要求;

          ·           未怀孕且在试验开始及结束30天内应该采用可靠的避孕措施。

 

排除标准

             ·           在本研究的治疗开始之前的五年内患有除NSCLC 以外的其它癌症的患者。除外宫颈原位癌、已治愈的基底细胞癌、膀胱上皮肿瘤[包括Ta Tis]

             ·           任何不稳定的系统性疾病(包括活动性感染、未得到控制的高血压、不稳定型心绞痛、最近3 个月内开始发作的心绞痛、充血性心功能衰竭(≥纽约心脏病协会【NYHAII 级)、心机梗塞(入组前6 个月)、需要药物治疗的严重心律失常、肝脏,肾脏或代谢性疾病;

             ·           曾经或目前患有间质性肺病;

             ·           已知人类免疫缺陷病毒(HIV)感染;

             ·           对培美曲赛或铂类药物过敏;

             ·           任何吸收不良的情况;

             ·           怀孕或哺乳期妇女;

0