您好! 请 登录 | 注册

广大群众需要认识的嗜肺军团菌

2022年10月15日 1410人阅读 返回文章列表

随着生活水平增高,无论大热天还是寒冬,都有可能用到空调,甚至中央空调。

近期经常有嗜肺军团菌感染、支原体感染患者来就诊,有时是单菌种感染,有时是合并感染,氟喹诺酮类药物、大环内酯类药物、四环素类药物常常作为治疗嗜肺军团菌感染、支原体感染的主要药物,碰到儿童嗜肺军团菌感染,一般使用大环内酯类药物阿奇霉素、克拉霉素等治疗。

军团菌是潜伏在我们身边的“杀手”,它的部分症状和新冠肺炎较相似,且易发展为重症,病死率为5%-30%。军团菌侵入人体后,进攻凶猛,7天内就可导致患者死亡,患者死亡大都因为呼吸衰竭,其次为休克和急性肾功能衰竭等。

军团病(Legionnairesdisease)是嗜肺军团杆菌所致的急性呼吸道传染病。1976年国费城召开退伍军人大会时暴发流行而得名。病原菌主要来自土壤和污水,由空气传播,自呼吸道侵入。临床上分为两种类型:一种以发热、咳嗽和肺部炎症为主的肺炎型;另一种以散发为主、病情较轻,仅表现为发热、头痛、肌痛等,而无肺部炎症的非肺炎型,又称庞提阿克热(Pontiacfever)。我国自1982年以来南京、北京等地相继报告有本病出现。临床既可以看到肺炎型军团病,也可以看到非肺炎型军团病,而且非肺炎型军团病因为症状轻,比较隐蔽,不容易被发现。临床上都是诊治一些呼吸道轻症持续不改善时,才会在有经验的医生的细致问诊诊查过程中,检查呼吸道病原体抗体九联检,这是抽血检查项目,九项呼吸道感染病原体包括嗜肺军团菌血清1型、肺炎支原体、Q热立克次体、肺炎衣原体、腺病毒、呼吸道合胞病毒、甲型流感病毒、乙型流感病毒和副流感病毒1、2和3型,查的是IgM抗体。通过检查可以明确诊断。

一、军团菌的由来

军团菌也称为“退役军人杆菌”,1976年首次在美国费城退伍军人年会期间爆发,221人患病,34人死亡,从尸检组织中分离出病原体并将其命名为军团菌。目前已知军团菌有52个种,3个亚群,70个血清型,与人类疾病相关的有24种,其中最常见的是嗜肺军团菌,主要引起军团菌肺炎。所以夏天开空调前,建议对空调进行适当清洗并消毒。预防军团菌可根据不同情况选择消毒干预措施:(1)铜银离子;(2)加热至60-77℃和冲洗;(3)对局部地区进行紫外线照射等。

军团菌在25℃-43℃繁殖,最适宜生长温度是35℃,每年7、8、9月军团菌肺炎较高发。军团菌很喜欢在温水及潮热的地方生存蔓延,空调、热水器、淋浴器、温泉等都是它生长繁殖的温床。

二、致病机制

军团菌的致病机制主要有两个方面:一是细胞内生命循环,二是细菌的毒力岛基因组和毒力基因。

1.细胞内生命循环:军团菌,通过细菌的黏附素和侵袭素侵入人体巨噬细胞,在胞内繁殖,形成吞噬小体、毒素和毒力因子。

2.毒力岛基因组与毒力基因:根据核苷酸序列分析,在嗜肺军团菌约80000bp基因区域含有一个相对分子质量为65000的毒力岛。这些毒力基因对于细菌侵袭宿主细胞,杀伤人巨噬细胞和在细胞内繁殖起重要作用,是嗜肺军团菌致病的重要因素,

三、军团菌肺炎

军团菌传播途径类似于新冠病毒,人体因吸入含有军团菌的气溶胶感染而致病!该菌自呼吸道侵入人体,引起肺炎、胸膜炎、呕吐、腹泻、甚至休克和死亡。

而且军团菌肺炎专捡“软柿子捏”,免疫力低下人群,比如老人、儿童、孕妇、基础病的患者,常常是他关注的对象。

根据WUH评分系统,如果以上人群出现:

(1)体温>38.9℃(伴有相对缓脉);

(2)血沉>90mm/h或C-反应蛋白>180mg/L;

(3)铁蛋白高于正常2倍;

(4)低磷血症;

(5)磷酸激酶升高>2倍;

(6)入院时镜下血尿。

如有大于其中3项,且对β-内酰胺类抗菌药物无反应时,则高度怀疑军团菌肺炎。

或者根据《中国成人社区获得性肺炎诊断和治疗指南(2016年版)》当成人社区获得性肺炎(CAP)患者出现伴相对缓脉的发热、急性发作性头痛、非药物引发的意识障碍或嗜睡、非药物引起的腹泻、休克、急性肝肾功能损伤、低钠血症、低磷血症、对β-内酰胺类抗菌药物无应答时,要考虑到军团菌肺炎的可能。

四、军团菌诊断

(1)军团菌培养阳性是诊断军团菌感染金标准,但阳性率低,先期的抗感药物使用可能造成假阴性,采用支气管肺泡灌洗(BALF)和肺活检标本可提高阳性率。

(2)肺军团菌1型尿抗原检测可用于早期快速诊断,结果不受先期抗感染治疗影响。

(3)合格下呼吸道标本军团菌抗原检测虽然具有快速、简便、可进行属种鉴定、可区分亚型等优点,但敏感性,特异性较差。

五、军团菌肺炎影像

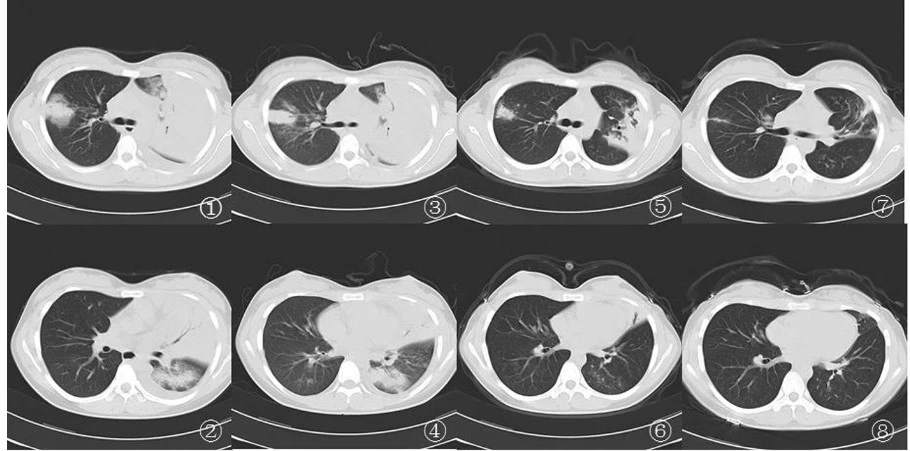
军团菌肺炎胸部影像相对特异性的表现是磨玻璃影中混杂着边缘相对清晰的实变影。虽然临床症状改善,影像学在短时间内仍有进展(1周内),或肺部浸润影几周甚至几个月后才完全吸收也是军团菌肺炎的影像学特点。


注:①②患者入院第1天胸部CT示双肺多发斑片样渗出影,左上肺实变,内可见支气管充气征,伴有左侧少量胸腔积液;③④治疗1周后右上叶渗出影略有减小,左侧胸腔积液减少(胸穿术后);⑤⑥治疗6周后双肺渗出影明显吸收好转;⑦⑧双肺渗出影基本吸收,左上肺叶遗留纤维索条影和坏死物质排出后形成的空腔。

六、军团菌治疗

军团菌是一种胞内寄生菌,通过呼吸道进入人体后侵入巨噬细胞进行生长繁殖。因此,对军团菌有效的抗感染药物取决于抗军团菌活性及其在肺泡巨噬细胞中的浓度。

β内酰胺类及氨基糖苷类药物因无法穿透细胞膜,对军团菌肺炎治疗效果很差。经筛选目前可用于治疗军团菌感染的常用药物包括喹诺酮类、大环内酯类、多西环素,另外替加环素、复方新诺明及利福平也被证实对军团菌感染有效。

对于免疫功能正常的轻、中度军团菌肺炎患者,可采用大环内酯类、呼吸喹诺酮类或多西环素单药治疗;对于重症病例、单药治疗失败、免疫功能低下的患者建议喹诺酮类药物联合利福平或大环内酯类药物治疗。当喹诺酮类药物联合大环内酯类药物治疗时,应警惕发生心脏电生理异常的潜在风险。

具体用法:首选左氧氟沙星500-750mg(国内用500mg),口服/静脉注射,每天一次,连用7-10天;莫西沙星400mg,口服/静脉注射,每天一次,连用7-10天;或者阿奇霉素500mg,口服/静脉注射,每天一次,连用7-10天。利福平每次300mg,口服/静脉注射,每天两次(非强制使用),与其它所列的药物联合使用。

替代方案:红霉素1g/6h,静脉注射,然后每次500mg,口服,每天4次,共7-10天。环丙沙星400mg,每隔12小时一次,静脉注射,然后每次750mg,口服,每天2次,共7-10天。

其它感染部位:心内膜炎:氟喹诺酮类(同上述肺炎)+利福平每次300mg,口服,每天两次,连用4-6周,通常需要瓣膜置换术。

以上是针对成人方案。

看到这里,患者朋友应该重视预防军团菌感染。尤其要关注的是,儿童得了军团菌,一般不合适用左氧氟沙星等喹诺酮类药物,利福平、多西环素、替加环素、复方新诺明一般不首选用,也尽量不用,红霉素、阿奇霉素等大环内酯类药物则成了首选,而大环内酯类药物目前耐药严重,这就给治疗儿童军团病带来了治疗压力。

因此预防军团病则成了重中之重。事实上,长期未清洗的空调存在很多微生物、粉尘、细菌、真菌等,开启时若不进行清洗很容易引起呼吸道感染。早在2004年底卫生部就在全国60多个城市,对近千家宾馆、商场等公共场所的集中空调进行抽检,结果显示卫生合格率只有6%。其中风管污染是最主要原因,抽检的近千家宾馆中,风管积尘超标最严重的高达476倍。

风管污染产生原因:

空气中各类悬浮物不能完全被中央空调过滤装置所阻隔,中央空调所使用的粗效过滤器只能阻隔40%的可悬浮颗粒物,部分灰尘颗粒进入管道堆积;

微细颗粒与风道内壁产生静电吸附,灰尘也就越积越厚;

堆积的灰尘极易滋生各类微生物,如:病毒、细菌、军团菌、冠状病毒等;

风道内部温、湿度适宜于各种病菌和昆虫滋生并寄生于其中,甚至有老鼠及蟑螂存在。

2006年,卫生部对全国集中空调的抽检结果也印证了这个问题。检测发现由于风管污染的原因,空调所送空气的卫生质量问题最为严重,细菌总数全国平均超标36.9%,可吸入颗粒物超标29.6%。

2008年,有研究者对深圳、北京地区家用空调进行微生物污染问题及其消毒效果的调查。

并不意外的发现,深圳地区细菌及真菌总数的平均值分别为891.96cfu/cm2,799.86cfu/cm2,北京地区细菌及真菌总数的平均值分别为3866.48cfu/cm2,127.83cfu/cm2,报告的数据均超过2012年《公共场所集中空调通风系统卫生规范》规定细菌总数和真菌总数菌落数应≤100cfu/cm2。

国内做过这样的试验,将许久未清洁的空调打开,在空调房内放上两份米饭,一份米饭敞开盒盖,一份米饭盖上饭盒盖,但是并非完全密闭,米饭处于半密封状态。等待72小时以后,来揭晓实验结果。敞开的米饭外层已经僵硬成一团,而盖上饭盒的那份米饭,里面早已发霉变质,表面附着一层肉眼可见的霉斑。随后专业人员将两份实验样品采集,放入实验室进行分析。结果竟然显示,附着在样品上面有大量的霉菌、黄曲霉、军霉等细菌。这些细菌如果吸入过量,都是可以引发疾病的。而同时,不仅细菌的种类多,细菌总量也超量。按照安全标准,空调出风口的细菌数,一立方米不得超过500个。而测试数据显示,细菌总数为523,真菌总数为820,极大的超出安全范围。其中,军团菌是潜藏在集中空调里最致命的杀手。如果集中空调受到军团菌的污染,人们很容易感染军团菌病。上海空调清洗行业协会副秘书长王彬在接受新民晚报采访表示,中央空调开之前最好先“洗个澡”。目前本市公共场所基本实现集中空调定期清洗消毒全覆盖,但商务楼宇方面还没能引起足够重视。“据不完全统计,商务写字楼集中空调的定期清洗率仅为20%-30%,大量集中空调长期未进行清洗。”

有研究者对北京市14家大饭店(四、五星级)中央空调38个冷却塔进行军团病的病原学检测,结果显示所调查的饭店中12家空调冷却塔有军团菌污染,污染率达85.7%,有21个冷却塔检出军团菌,阳性率为55.3%(21/38),共分离16株军团菌,均为嗜肺军团菌种。

军团菌常伴随空调制冷装置中随冷风吹出,该病尤其易发生在配备有密闭式中央空调的办公环境里,感染者出现上呼吸道感染及发热的症状,严重者可导致呼吸衰竭和肾衰竭。

军团菌病主要的感染途径是人吸入被污染的气溶胶。气溶胶来源包括空调冷却塔、冷热水系统、加湿器、温泉等。

从以上看来,患者朋友是否觉得,吹空调相当于在吹细菌?空调竟比马桶还脏?是不是?

军团菌病发病的季节分布、年龄分布和性别分布特征各地基本一致。6-10月为高发季节,发病高峰为8-9月;在已报告的病例中,在年龄分布上,老年人发病多,男性多于女性。

为此建议大家作出以下预防措施

1、加强水资源管理及人工输水管道和设施的消毒处理,防止军团菌造成空气和水源污染,这是预防军团菌病扩散的重要措施;

2、医院、办公楼、商场、机场、地铁站等大型建筑物,要对中央空调系统,冷却塔等设备进行定期检测,保持这些设备冷热水系统的清洁;

3、对自己家里的空调,浴室里的淋浴器等设备也要进行定期检测、消毒,保持其卫生清洁。李涛等人的研究调查显示,家用空调经过消毒后,细菌总数及真菌总数杀灭率均超过95%。

对空调,特别是中央空调系统要清理打扫,尽量让空调冷凝液少积聚;汽车玻璃水要用不利于细菌繁殖的液体,比如用含清洁剂的,不要直接用清水;对非典型肺炎的患者要注意军团菌肺炎的诊断性检测,以免延误病情、产生严重后果。而且,还要注意,在空调清洁过程中还得注意戴口罩。

1