您好! 请 登录 | 注册

打了一个喷嚏,骨折了

2019年04月11日 8117人阅读 返回文章列表

骨肿瘤的门诊,有一些病人是扶着,或者抬着,进来的。 问其原因:

1. 打了一个喷嚏,瘫痪了。

2. 起床伸了一个懒腰,胳膊断了。

3. 骑自行车等红灯,脚一撑地,腿断了。

4. 在学校上体育课,吊单杠,只是抓了一下,胳膊就断了

5. 生气的时候,敲了一下桌子,手指头断了。

6. 。。。。。。

这一类病人都有一个共同的特点:轻轻一碰骨头就断了。

为什么会这样?

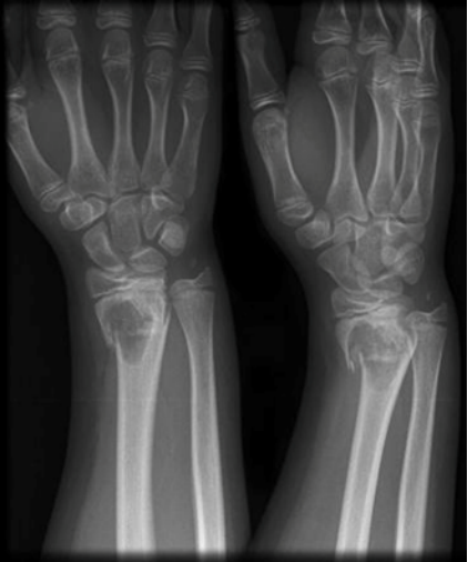
绝大多数是因为骨头上长了肿瘤,肿瘤破坏了骨的稳定和强度。就像这张照片里,肿瘤已经吃空了这个孩子手腕的骨头(桡骨),洗脸后拧毛巾,手腕就断了。



当然,轻轻受力就骨折了,还有其他很多原因,但其他的原因大部分都是有长期症状的,比如骨质疏松,比如一些代谢性的疾病,病人自己一直都很小心的,也知道自己随时可能骨折。

只有骨肿瘤的病人,平时完全没有症状,直到骨折的那一刻。

幸运的是,医学发展到现在,即使因为肿瘤导致的病理性骨折(非正常骨折),也并没有那么可怕,大多数都能够完全治愈。

肿瘤导致的骨折,要从两个方面来处理,第一是处理肿瘤,第二才是处理骨折。所以需要专业的骨肿瘤医生进行治疗。一般的骨科医生,会重点解决骨折的问题,而常常忽略肿瘤,从而导致肿瘤的复发,转移,甚至病情的恶化。

所幸的是现在中国骨肿瘤科医生的数量越来越多。

肿瘤性骨折一般根据肿瘤的性质做刮除肿瘤或者彻底切除肿瘤两种情况,经过治疗,恶性程度不高的肿瘤病人基本上都能恢复到正常。

每年定期体检是发现隐匿肿瘤的一个好方法。在没有骨折之前如果能够发现肿瘤,我们还可以用微创的方法进行治疗。但一旦发生骨折之后,骨头就像一个瓷碗被摔碎了一样,就只能切开做传统的手术。就像,把瓷片拼凑起来的瓷碗,终究与原装的还是有些差别的。

对于病理性骨折的肿瘤病人来说,手术是提高生活质量的必要措施,长期卧床会导致一系列的并发症,手术可以让病人早期下地与活动,回归社会与生活。


0