您好! 请 登录 | 注册

青壮年,不喝酒、不吸烟?没有高血压和糖尿病,也会脑梗塞吗?

2022年10月17日 817人阅读 返回文章列表

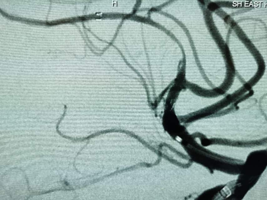
河南信阳帅哥,一个半月前突然出现左侧肢体肌力乏力、认知功能大幅下降、反应迟钝,在当地多家医院按照“脑梗塞”诊治后,症状未能缓解,仍呈进行性加重。经推荐转至我院寻求治疗,术前谈话之后,疫情期间,家里有急事需要处理,唯一的陪人回家了……。今日为患者手术,术中发现右侧大脑中动脉的一个分支出现多节段、长节段的夹层,血流仅剩断断续续的一条线,在血中飘摇,随时存在血管完全闭塞,脑梗塞继续加重,重者可能危及患者生命……,术中正确辨别真腔(误判后果严重),顺利打通重建血管,血流恢复……,手术只是整个治疗过程的一小部分,围手术期仍需要再接再励,帮助患者渡过风险期~~~
  最后,感谢麻醉、手术室、护理、ICU的老师们一路保驾护航,期待患者越来越好,尽快重返社会~~~
最后答案:血管夹层是导致青壮年自发性脑梗塞的罪魁祸首

0