您好! 请 登录 | 注册

椎基底动脉扩张症的治疗

2022年02月11日 7960人阅读 返回文章列表

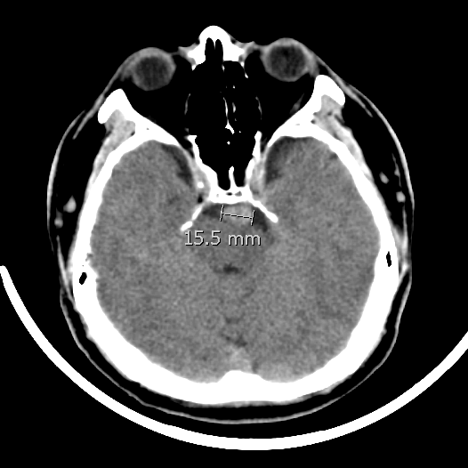
患者男性,34岁,年前自新疆坐车48小时来到我院,诊断:椎基底动脉冗长扩张症,出现脑干压迫症状、后组颅神经症状、部分中组颅神经症状、小脑症状、颅内压增高(220mmHg),症状进行性加重,最大径15mm,血管外面存在血栓造影只能窥见部分,短短两周,病变形态出现明显变化,局部出现明显瘤样凸起(图2-3),手术方案只能临时改变,植入血流导向装置,术后看病人语言、四肢活动均正常,围手术期仍然是一个艰巨的过程,充满了不确定因素,希望患者能安全度过围手术期,早日康复,重返工作岗位~~~

0