您好! 请 登录 | 注册

血栓后遗症引起的老烂脚

2022年07月21日 4380人阅读 返回文章列表

男性患者,4年前因急性DVT贵州某医院行滤器置入+切开取栓。滤器未取,抗凝不规律,此次为深静脉血栓形成后遗症PTS,浙江医院推荐上海九院……
面对缝合后几乎完全闭塞的股静脉,开通、球扩、支架置入……结果满意!

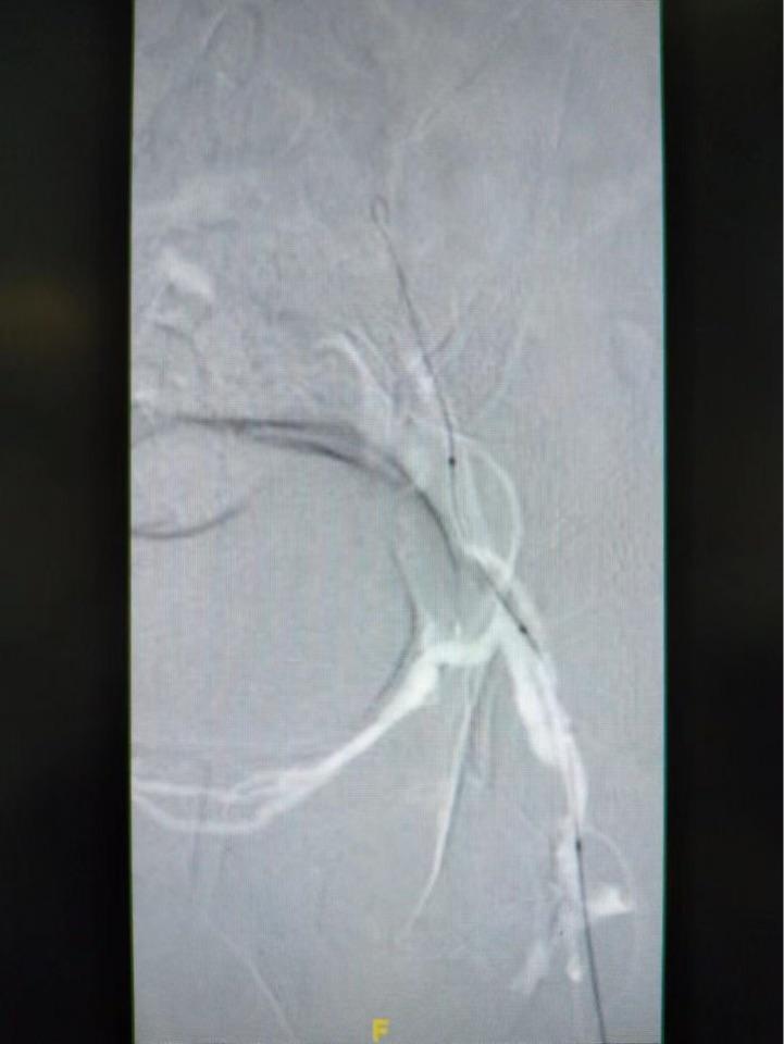
术中造影可见髂股静脉完全堵塞

天无绝人之路,缝隙中通过病变


高压球囊扩张,切迹明显


最后造影,血流通畅,结果满意,患者症状改善。

0