您好! 请 登录 | 注册

颅内也会长“炸弹”吗?

2022年08月15日 3665人阅读 返回文章列表

颅内也会长“炸弹”吗?

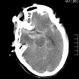
山东老年女性,2个月前遭遇颅内动脉瘤(一个血管上的不定时炸弹,不知道啥时候就爆炸了)破裂出血,病情危重。
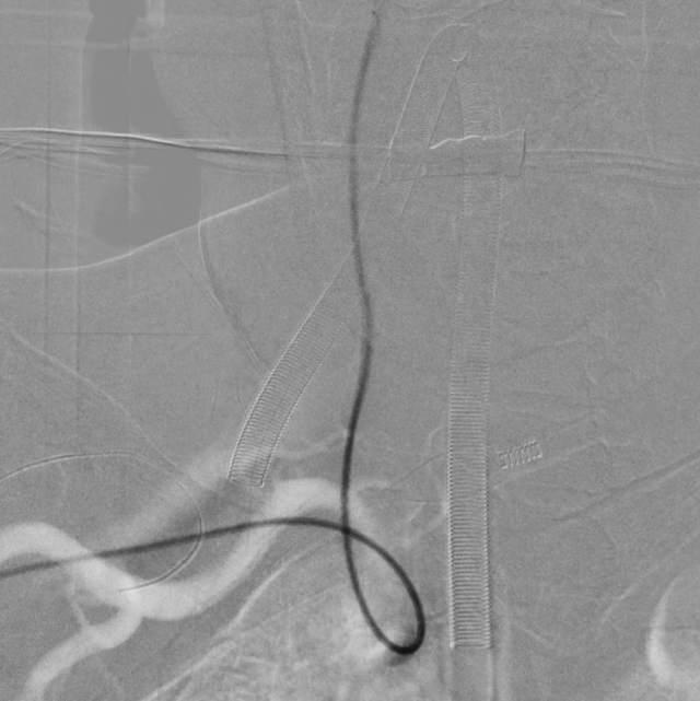
  动脉瘤经过多年修炼,形态奇葩,大动脉瘤上长着小动脉瘤,小动脉瘤上长着微小动脉瘤,还累及粗大的胚胎型大脑后动脉,经过一期单纯栓塞,消除了出血风险,老人家顺利出院康复。
  近日,老人家恢复了差不多了,为了防治日后宽颈的脑动脉瘤复发,还需要稍微进行一下修修补补,减少血流对薄弱的脑动脉瘤的冲击,那就需要再简单加固一下。
  这个加固的材料呢,放进血管后,慢慢会被自己的内皮细胞覆盖,变成自己身体的一部分,还能防止动脉瘤复发,是一个非常好的装备。
  装备虽好,那还的找靠谱的医生给安装进去吧。今日,我们顺利为老人家在病变部位的血管植入了血流导向装置,手术顺利。然而,不是每一个破裂的脑动脉瘤患者像老人家一样这么幸运,能够有机会赶到医院,得到及时的治疗……
  说到底,脑动脉瘤最好不要长,可是咱们都是吃五谷杂粮的,长还是不长也不是自己说了算,为了能够放心的蹦蹦跳跳和到处溜达,还是要“未雨绸缪,早做准备”,空闲的时候有必要去做个头颅MRA,排查一下吧……
生活不易,祝君平平安安,幸福安康~~~

1