您好! 请 登录 | 注册

今日话题:当颅内静脉窦血栓(CVST)遭遇颅内动脉瘤破裂,止血还是抗凝?

2023年03月18日 22人阅读 返回文章列表

一、背景知识:当颅内静脉窦系统血栓形成(CVST)时,需要进行抗凝等处理,重者需要进行外科处理;相形之下,当颅内动脉瘤破裂后,急性期需要进行止血处理。这两种情况一般不会同时遇到,偶尔遇到了,就要抓住主要矛盾,两者兼顾,各个击破。
这不,老卢同志就遇到这事了。在静脉窦血栓的同时遭遇了颅内动脉瘤破裂,病情雪上加霜。

二、治疗策略:全面分析后,可能较为稳妥的治疗策略如下:
(1)急性期先单纯致密栓塞动脉瘤;(2)等动脉瘤相对稳定后再追加抗凝药物治疗似乎是可行的。
然而,动脉瘤栓塞完毕,我们发现由于肝素的使用,直窦及其分支系统显影明显好转,提示局部血栓的存在;同时,上矢状窦前1/3也明显显影不良,提示血栓的存在,整个静脉窦的显影时间明显滞后3-4秒。所有这些,都支持CVST的存在。

三、治疗时间点和术后的小插曲:
(1)急性期右侧胚胎型大脑后动脉瘤(Hunt-Hess3级)致密栓塞,手术顺利,术后正常清醒,四肢活动好;
(2)术后26小时患者突然出现右侧眼睑下垂,瞳孔散大至5mm,直接和间接对光反射消失。但是,神志清楚,四肢活动好。考虑:动眼神经麻痹。

四、小插曲动眼神经麻痹后的处理
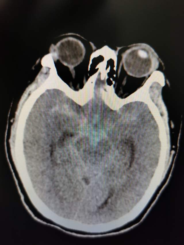
1、立即复查脑CT和DSA:(1)动脉瘤致密栓塞,完全不显影,动脉瘤无增大;(2)出血无增大,排除再出血的可能;(3)整个脑干系统和左侧脑叶呈现明显的低密度,考虑静脉回流障碍所致;(4)脑室引流系统正常引流,未见异常。
2、小插曲出现的原因分析:综合以上现象和脑干的CT低密度表现:术后26小时出现的突发动眼神经麻痹,可能与静脉窦血栓回流障碍引起的动眼神经核麻痹所致,也可能与中脑附近的局部血管痉挛引起所致。
3、处理措施:急诊法舒地尔灌注+肝素灌注。执行时间:出现后6小时执行。术中发现:上矢状窦系统后2/3也显影隐约中断,错错落落,直窦及其属支显影也不太好
4、警报解除:由于动脉瘤完全不显影,法舒地尔和肝素灌注后4小时再次查体,动眼神经麻痹完全恢复,睑裂正常,瞳孔恢复正常。

五、小结:
1、由于动脉瘤已经致密栓塞,由于合并CVST,急性期不要使用止血药物,以免诱发CBST加重;
2、术后根据CT复查情况,酌情采用抗凝药物,抑制并逐渐消除CVST,脑干的弥漫性水肿可能会引发潜在的呼吸循环障碍;
3、尽早廓清颅内血性脑脊液对于防止各种潜在的并发症是有益的,厚厚的积血诱发的血管痉挛可能也参与了颅神经的麻痹症状。
六、康复出院

0